3503563525
armonydentalmedellin@gmail.com
BEAUTIFY

Tu sonrisa es tu carta de presentación

Diseños de sonrisa en cerámica, resina de alta estética y microdiseños personalizados. Una experiencia premium que transforma tu seguridad, tu imagen… y tu vida.
Diseño sin título (19)

Agenda tu cita

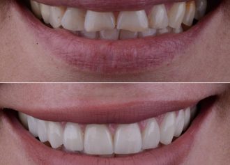
Tu transformación a un paso

745aaa98c855df8a51a36a9eca815b6d
Bienvenido

¿Por qué elegir ArmonyDental?

Mucho más que estética dental… es una transformación emocional.

  • Atención personalizada en cada etapa del tratamiento

  • Materiales premium con garantía

  • Tecnología avanzada y protocolos de bioseguridad

  • Resultados naturales y armónicos con tu rostro

  • Experiencia tipo spa.

5 razones para regalarte el diseño de sonrisa que mereces

Tu sonrisa no solo cambia tu rostro… cambia cómo te ves, cómo te sientes y cómo te ven los demás.
Nuestros servicios

Mira cómo cambia una vida con solo sonreír.

Estos cambios se logran con la firme decisión de empezar ahora

Diseño de sonrisa en Cerámica

Diseño en Resina de Alta Estética

Minidiseño de sonrisa

Daniel carrascal
Daniel carrascal
Recomendado 100%, servicio de muy buena calidad y excelente atención al cliente!
Juan jose Jaramillo jaimes
Juan jose Jaramillo jaimes
Excelente atención, los mejores 100% recomendado
Sara Navarro
Sara Navarro
Súper bien el lugar y su atención, los recomiendo mucho
b227bd232f52e75c576ef683c5b78542
4fe141028c4904392fa79f4e0f2eed35
471f1fe05cc3ded04db889354d1a85bc
e94a38638512c685ed237ed9f8c72ae6

Solicita aquí tu cita

Llena tus datos y nosotros te contactamos